Abbott Intravascular Lithotripsy (IVL) system clinical trial
Posted by: Tampa Cardio
On: September 30, 2025
We are proud to announce that Tampa Cardiovascular Associates is once again at the forefront of cardiovascular innovation — enrolling the first patient for a groundbreaking clinical trial of the Abbott Intravascular Lithotripsy (IVL) system at AdventHealth Tampa.
This milestone marks a major step forward in the treatment of complex coronary artery disease. Dr. Mahmaljy’s leadership in pioneering new technologies reflects our practice’s commitment to delivering cutting-edge care and improving patient outcomes through research and innovation.
Congratulations to Dr. Mahmaljy and the entire clinical team at AdventHealth Tampa for this remarkable achievement!
Stay tuned for more updates as we continue to lead in the advancement of cardiovascular care.
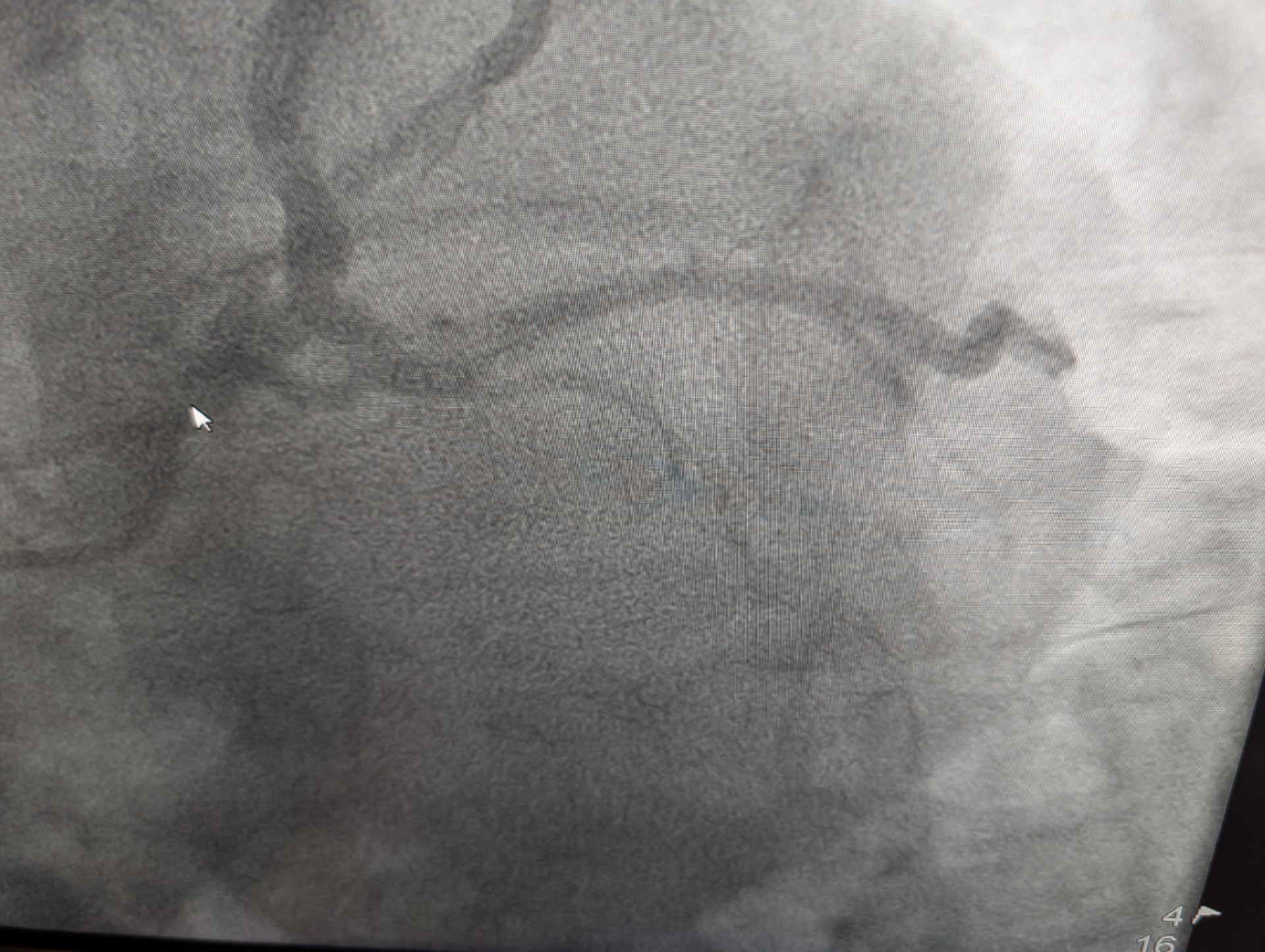
Before:

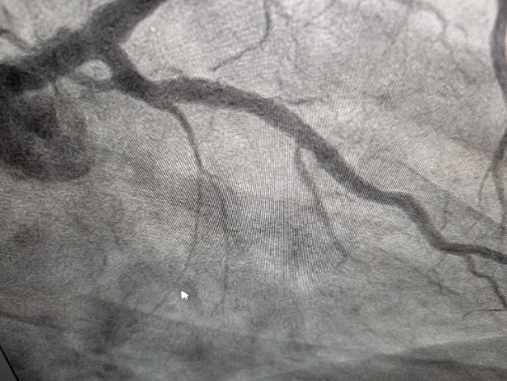
After:
Posted by: Tampa Cardio
On: 30/09/2025